Do you show your gingiva/gum a lot while smiling or does your smile feel ”gummy”?
Do you cover your mouth with your hand or avoid big smiles trying to hide your ”gummy smile”?
Do you wish to adjust your smiling looks?

Do you show your gingiva/gum a lot while smiling or does your smile feel ”gummy”?
Do you cover your mouth with your hand or avoid big smiles trying to hide your ”gummy smile”?
Do you wish to adjust your smiling looks?
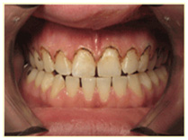
Gummy smile is a condition that fully reveals a part of mucose above mucogingival line (visible gingiva/gum) while smiling. Although gummy smile is a natural variation in human anatomy, many people with it feel unpleasant, lack of self-confidence wanting to change it. Apart from aesthetic, gummy smile means also a functional problem because due to gingival constant exposure to air, they dry, which has an inflammation as a consequence.

If you think you have gummy smile, visit your dentist. Apart from taking your teeth and gingiva prints and radiography, the analysis often includes parodontopathy, ortodonty or oral surgery experts. Correction of gummy smile implies clinical tooth crown prolonging. We can fix your smile with simple periodontal surgical procedures. You will be delighted with grace and natural looks of the results of short painless corrections.
Mostly applied therapy procedure is Gingivectomy

Gingivectomy is done with laser in benign cases.
It consists of gingival tissue removal and creating of healthier and more attractive gingival contures.
is a procedure performed when more extensive reduction of gingiva and most often bone part is needed. It is done with local anesthesia and gives perfect results.


Depending on your clinical condition, gummy smile correction treatmant can include the following procedures:
