Terapiju fiksnim ortodontskim aparatima sprovodimo nakon formiranja stalne denticije. Mogu biti metalni ili estetski,postavljeni na spoljasnjoj ili unutrasnjoj povrsini zuba(tzv.lingvalna tehnika), a cine ih bravice(bracket) fiksirane za zube i zica,koja ispravlja zube u idealan luk i polozaj.
Fiksne proteze za zube daju mnogo bolje rezultate od mobilnih proteza , jer se ne skidaju, tako da je korigovanje zuba neprekidno
Fiksni ortodonski aparati
Standardni(konvencionalni) fiksni aparati
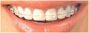
kod kojih se bravice( breketi) postavljaju na spoljasnju povrsinu zuba.mogu biti metalni(koriste metalne bravice) i estetski(bravice su od keramike,safirnog stakla),pa su gotovo nevidljivi.
Metalni fiksni aparati
Mozete ih uciniti zanimljivim izborom ligaturnih gumica razlicitih boja
Estetski fiksni aparati
Za one kojima je estetika na prvom mjestu
Posebnu grupu cine samoligirajuci fiksni aparati
U Ortholine-ukoristimo Damon system (Ormco) samoligirajucih breketa.
Prednosti samoligirirajucih sistema je mnogostruka.Estetski,metalne Damon bravice su manje uocljive od tradicionalnih metalnih bravica.Ono sto cini najvecu prednost Damon-a u odnosu na konvencionalne metode jeste smanjeno vrijeme terapije i do 6 mjeseci.
Lingvalne fiksne proteze
Lingvalne fiksne proteze za zube su potpuno nevidljive, jer se postavljaju sa unutrašnje strane zuba.
Najnovije kod nas !
Incognito 3M
Moderna i nevidljiva alternativa konvencionalnim bravicama.
Bravice se izrađuju koristeci 3D tehnologiju od legure zlata,u laboratoriji u Njemackoj, individualno za svakog pacijenta (primjenom najsavremenije CAD/CAM tehnologije) .
Predstavlja najsavremeniju,najluksuzniju i najmanje vidljivu metodu,s obzirom da se breketi liju na zlatu,a smjestena je na unutrasnjoj povrsini zuba,sto je cini prihvatljivom svim pacijentima kojima je estetski momenat prioritetan.
Trajanje terapije fiksnim protezama je između jedne i dvije godine u zavisnosti od nepravilnosti zuba i vilica koja je kod vas prisutna. Odluka o vidu terapije koja će se sprovesti, donosi se nakon detaljne i sveobuhvatne analize studijskih modela i rentgenskih snimaka ( ortopan i profilni telerentgen) tako da svaki pacijent dobija najoptimalnije, individualno terapijsko rešenje.
Savjeti
Za vrijeme terapije,,neovisno da li se radi o klasicnoj ili lingvalnoj tehnici,potrebno je voditi racuna o nacinu na koji se uzima hrana.Neophodno je izbjegavati odgrizanje tvrde hrane i voca (npr:jabuke).Pozeljno je svu hranu sjeci na manje komade,pa jesti.Takodje je potrebno izbjegavati odredjenu hranu (tvrde bombone,kikiriki,sjemenke,orahe,bademe,ljesike,kao i zvake i karamele),kako ne bi dolazilo do odljepljivanja breketa sa zuba.
Potrebno je obogatiti ishranu vitaminom C koji ima vaznu ulogu u zdravlju kosti i kolagenih vlakana. Najvaznije je tokom ortodontske terapije odrzavat i savršenu higijenu zuba i usne duplje.
Kontrolni pregledi najcesce se vrse u intervalima 2-4 sedmice,a trajanje terapije je individualno,prosjecno18-20 mjeseci.
Nakon skidanja fixnog aparata,slijedi ne manje vazan dio terapije,a to je RETENCIJA.
Ritejneri su mobilni aparati ili folije koji se nose po skidanju fiksnih aparata,a imaju za cilj zadrzavanje postignutih rezultata.Najcesce se nose 1-2godine,kako ne bi doslo do tzv:recidiva,tj.vracanja zuba u prvobitan polozaj.







