Parodontopatija predstavlja inflamatornu bolest koja zahvata desni, alveolarnu kost i druge strukture tzv. potpornog aparata zuba, a karakteriše se upalom desni (gingivitis) i povlacenjem desni, resorpcijom alveolarne kosti, parodontalnim džepovima i u terminalnoj fazi klaćenjem i ispadanjem zuba.
Parodontopatija
Glavni etiološki faktor u nastanku ovog oboljenja su mikroorganizmi koji se nalaze u dentalnom plaku. Neki od njih luče izuzetno agresivne toksine i enzime kojima oštećuju okolno tkivo i dovode do upale desni. Neliječena upala desni vremenom prelazi i na alveolarnu kost, što za posledicu ima resorpciju kosti i formiranje parodontalnih džepova.
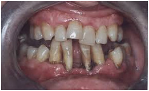
Iako moze imati agresivnu formu praćenu brzim gubitkom zuba, parodontopatija u najvećem broju slučajeva ima hroničan tok i, u prvo vrijeme, gotovo neznatne znake i simptome. Prvi simptom koji pacijenti obično primijete je krvarenje pri pranju zuba. Krvarenje desni je znak upalnog procesa (gingivitis).
Sa napredovanjem bolesti pacijenti mogu primetiti da su im se desni na nekim mestima povukle, da su im ogoljeni vratovi zuba, te da zubi reaguju na termičke ili mehaničke nadražaje. U uznapredovaloj fazi bolesti, kada već postoji znatna resorpcija alveolarne kosti i duboki parodontalni džepovi, pacijenti primećuju da im se zubi klate , da su im se pojavili razmaci između zuba koje ranije nisu imali ili da su se do tada postojeći razmaci povećali, da su im se pojedini zubi iskrivili, “isplivali” ili izašli van zubnog niza
Terapija parodontopatije
Terapija parodontopatije je dugotrajna, kompleksna i zahtijeva aktivnu saradnju pacijenata. Danas nam na raspolaganju stoje brojne terapijske procedure kojima je moguće bolest staviti pod kontrolu, zaustaviti ili maksimalno usporiti njeno napredovanje, pa čak i nadoknaditi dio tkiva koji je tokom bolesti izgubljen,sto omogucava da pacijent ocuva prirodnu denticiju dugi niz godina.
Samo liječenje se odvija u nekoliko faza.
Prva ili kauzalna faza lečenja podrazumeva eliminaciju inflamacije u parodoncijumu.
Uklanjanjem dentalnog plaka,zubnog kamenca i drugih naslaga sa zuba kao i svih onih lokalnih faktora koji pospešuju i omogućavaju njihovo nakupljanje, i obradom parodontalnih džepova eliminiše se i najveći broj mikroorganizama koji su do inflamacije i razvoja bolesti i doveli.
Druga faza lečenja je hirurška faza . Različitim vrstama tzv. režanj operacija moguće je značajno smanjiti dubinu parodontalnih džepova i vratiti desnima narušenu morfologiju. Popunjavanjem koštanih defekata “vještačkom kosti” tokom režanj operacije, nadoknađuje se dio izgubljene kosti i dodatno smanjuje dubina parodontalnih džepova. Hirurška terapija parodontopatije uključuje i tzv. mukogingivalnu hirurgiju odnosno uklanjanje mukogingivalnih anomalija kao i estetsku parodontalnu hirurgiju kojom možemo ispraviti neke estetske nedostatke koje su posledica same bolesti. I na kraju, hirurška faza lečenja podrazumeva i predprotetsku pripremu parodoncijuma, nakon koje se protetski nadoknadjuju izgubljeni zubi i stabilizuje okluzija i artikulacija. Poslednja faza ili faza održavanja postignutih rezultata liječenja obuhvata redovne kontrolne preglede kako bi se pravovremeno uočili znaci eventualne ponovne pojave inflamacije odnosno recidiva bolesti.









